Skip to main content

ΑΜΕΣΗ ΦΟΡΤΙΣΗ ΕΜΦΥΤΕΥΜΑΤΩΝ

ΔΟΝΤΙΑ ΣΕ 1 ΗΜΕΡΑ

Αποκτήστε νέα δόντια σε 1 ημέρα! Γρήγορη, ανώδυνη αποκατάσταση χαμένου χαμόγελου με σύγχρονες τεχνικές

Διάρκεια

2 ώρες

Αναισθησία

Τοπική αναισθησία

Εξετάσεις

Πανοραμική & αξονική

Τελικό Αποτέλεσμα

24 – 48 ώρες

ΑΜΕΣΗ ΦΟΡΤΙΣΗ ΕΜΦΥΤΕΥΜΑΤΩΝ – ΔΟΝΤΙΑ ΣΕ 1 ΗΜΕΡΑ

Υπό συγκεκριμένες προϋποθέσεις, ο ασθενής μπορεί να αποκτήσει δόντια την ίδια ημέρα με Άμεση φόρτιση εμφυτευμάτων.

Η χειρουργική τοποθέτηση των εμφυτευμάτων δοντιών είναι απόλυτα ακριβής και ασφαλής, κάτι στο οποίο συμβάλλει σε τεράστιο βαθμό η προετοιμασία, η χρήση της τεχνολογίας και η κατάλληλη μελέτη και σχεδιασμός.

Με την άμεση φόρτιση εμφυτευμάτων, η θεραπεία ολοκληρώνεται σε σύντομο χρονικό διάστημα, μειώνοντας παράλληλα και τον αριθμό επισκέψεων. Ο ασθενής βρίσκει άμεση λύση στο πρόβλημά του την ίδια ημέρα.

Σε αντίθεση με τα παραδοσιακά πρωτόκολλα αποκατάστασης των φυσικών δοντιών, τα οποία απαιτούν πολλές επισκέψεις στον οδοντίατρο και από 3 έως 12 μήνες θεραπευτικής διαδικασίας, η άμεση φόρτιση εμφυτευμάτων εγγυάται δόντια την ίδια ημέρα, επιτρέποντας στον ασθενή να επιστρέψει άμεσα στις καθημερινές του δραστηριότητες.

Η πολυετής εμπειρία και οι ασφαλείς τεχνικές που χρησιμοποιεί ο Γναθοχειρουργός Κωνσταντίνος Ψωμαδέρης εγγυώνται υψηλής ποιότητας προσθετική εργασία που αντέχει στο χρόνο.

Άμεση Φόρτιση Εμφυτευμάτων
Nobel Biocare

Με την Άμεση Φόρτιση Εμφυτεύματων δοντιών ο ασθενής παραμένει δίχως δόντια για ελάχιστο χρονικό διάστημα, καθώς αποκαθίσταται η απουσία των φυσικών δοντιών την ίδια ημέρα, με τα ποσοστά επιτυχίας να αγγίζουν το 97-100%!

Άμεση φόρτιση εμφυτευμάτων – Τι Πρέπει να Γνωρίζετε

Η πρωτοποριακή αυτή τεχνική έχει εξαιρετικά αποτελέσματα, αρκεί η γενικότερη υγεία και οι συνθήκες του στόματος και της γνάθου, να το επιτρέπουν. Η άμεση φόρτιση εμφυτευμάτων απευθύνεται σε ασθενείς που για διάφορους λόγους δεν μπορούν να παραμείνουν χωρίς δόντια για μεγάλο χρονικό διάστημα. Η άμεση φόρτιση εμφυτευμάτων είναι ιδανική για ασθενείς που:

 

  • Έχουν κατεστραμμένα ή ελλείποντα πρόσθια δόντια
  • Ανησυχούν για τον χρόνο και το κόστος
  • Δεν επιθυμούν να υποβληθούν σε πολλαπλές οδοντιατρικές επεμβάσεις
  • Επιθυμούν να αποκτήσουν εμφυτεύματα All on 4® (πλήρες οδοντικό τόξο σε 4 εμφυτεύματα).
  • Είναι ολικώς νωδοί (χωρίς δόντια)
Σε αντίθεση με τα κλασικά πρωτόκολλα αποκατάστασης φυσικών δοντιών, τα οποία απαιτούν πολλαπλές επισκέψεις και χρονοβόρες θεραπευτικές διαδικασίες, η τεχνική της άμεσης φόρτισης εμφυτευμάτων εξασφαλίζει την απόκτηση δοντιών την ίδια ημέρα, με αποτέλεσμα ο ασθενής να μπορεί να επιστρέψει αμέσως στις καθημερινές δραστηριότητές του.
Για να εφαρμοστεί η άμεση φόρτιση εμφυτευμάτων σε κάποιον ασθενή απαιτείται άρτιος χειρουργικός και προσθετικός σχεδιασμός, καθώς και χειρουργική τεχνική, ώστε τα εμφυτεύματα να έχουν επαρκή σταθερότητα από τη στιγμή της τοποθέτησής τους. Τα ποσοστά επιτυχίας της άμεσης φόρτισης αγγίζουν το 97-100%. Ο σχολαστικός προεγχειρητικός έλεγχος μας βοηθά να βεβαιωθούμε ότι ο ενδιαφερόμενος είναι καλός υποψήφιος για μια αποκατάσταση με εμφυτεύματα δοντιών και για την άμεση φόρτιση. Όταν η εφαρμογή της μεθόδου άμεσης φόρτισης ενδείκνυται κλινικά, τότε αποτελεί την καταλληλότερη και αμεσότερη λύση αντικατάστασης δοντιών, προσφέροντας στον ασθενή απόλυτη ικανοποίηση.
16500
ΤΟΠΟΘΕΤΗΣΕΙΣ ΕΜΦΥΤΕΥΜΑΤΩΝ
1200
"ΔΟΝΤΙΑ ΣΕ ΜΙΑ ΜΕΡΑ"
98
Επιτυχία
PSOMADERIS

Γιατί να μας επιλέξετε;

Στο κέντρο μας, ο σύγχρονος εξοπλισμός & η τεχνολογία συνδυάζονται με την προσωπική προσέγγιση επαγγελματιών, για να εξασφαλίσουν το καλύτερο αποτέλεσμα και ένα υπέροχο χαμόγελο.

Άμεση Φόρτιση Οδοντικών Εμφυτευμάτων – Εξετάσεις Και Χειρουργική Τοποθέτηση

Το πρώτο στάδιο προκειμένου ο ασθενής να αποκτήσει δόντια την ίδια ημέρα είναι να πραγματοποιηθούν οι κατάλληλες διαγνωστικές εξετάσεις προκειμένου να διαπιστωθεί το κατά πόσο υπάρχουν οι κατάλληλες συνθήκες για την άμεση φόρτιση εμφυτευμάτων.

Στην περίπτωση που η μέθοδος αυτή ενδείκνυται και εφόσον οι οδοντίατροι γνωρίζουν το πλήρες ιατρικό ιστορικό του ασθενούς, αναλύονται τα δεδομένα των εξετάσεων προκειμένου να υπάρξει εξατομικευμένη θεραπεία.

  • Οι διαγνωστικές εξετάσεις περιλαμβάνουν ακτινογραφίες, φωτογραφίες, καθώς και μια ειδική αξονική τομογραφία.
  • Στη συνέχεια, οι εξειδικευμένοι προσθετολόγοι προχωρούν στην κατασκευή ενός ομοιώματος των οστών της γνάθου. χρησιμοποιώντας ειδική ψηφιακή τεχνολογία.
  • Πάνω στο ομοίωμα αυτό θα σχεδιαστεί ένας χειρουργικός νάρθηκας, ο οποίος καθορίζει την ακριβή θέση και γωνία της τοποθέτησης του εμφυτεύματος ή των εμφυτευμάτων.
  • Έπειτα ο Γναθοχειρουργός προχωράει στη χειρουργική επέμβαση, όπου τα τεχνητά δόντια συνδέονται με το οδοντικό εμφύτευμα με μια σύντομη διαδικασία, η οποία στις περισσότερες περιπτώσεις πραγματοποιείται με αναισθησία.
Οι ασφαλείς τεχνικές που χρησιμοποιεί ο Γναθοχειρουργός Κωνσταντίνος Ψωμαδέρης και το πλήρως καταρτισμένο ιατρικό προσωπικότου ιατρείου μας, σε συνδυασμό με την τεχνογνωσία και τα υψηλά ποσοστά επιτυχίας στην άμεση φόρτιση εμφυτευμάτων, συμβάλλουν στο να δοθεί άμεση λύση με τη λιγότερη δυνατή δυσφορία σε κάθε ασθενή.

Τα μακροπρόθεσμα αποτελέσματα που προκύπτουν από τη χειρουργική τοποθέτηση εμφυτευμάτων την ίδια ημέρα επιτρέπουν στον ασθενή να αποκτήσει λειτουργικά και καλαίσθητα οδοντικά εμφυτεύματα, όμοια με τα φυσικά.

ΕΥΕΛΙΚΤΟΙ ΤΡΟΠΟΙ ΠΛΗΡΩΜΗΣ

Πληρωμή απο 12 εως 24 δόσεις με πιστωτική κάρτα
Δυνατότητα δανειοδότησης μέσω τραπέζης, εντός 24 ωρών

Άμεση φόρτιση εμφυτευμάτων – Τι Προσφέρει

Η άμεση φόρτιση εμφυτευμάτων προσφέρει:

 

  • Άμεση ολοκλήρωση της τοποθέτησης της προσθετικής εργασίας μέσα σε 24 ώρες από την αρχική τοποθέτηση του εμφυτεύματος.
  • Συντόμευση της διάρκειας της θεραπείας.
  • Άμεση επαναφορά του ασθενούς στις κοινωνικές και επαγγελματικές του δραστηριότητες.
  • Δυνατότητα απόκτησης δοντιών που μοιάζουν στο χρώμα, το σχήμα και τη διαφάνεια με φυσικά.
  • Μικρό χρονικό διάστημα που ο ασθενής μένει χωρίς δόντια, καθώς ο ασθενής φεύγει με προσωρινή οδοντική προσθετική εργασία την ίδια μέρα.
  • Αποποιημένη ροή εργασίας, χωρίς ο ασθενής να υποβάλλεται σε πολλαπλές χειρουργικής επεμβάσεις.
  • Βελτιωμένη αισθητική.
  • Μειωμένη οστική απορρόφηση.
  • Απαλλαγή του ασθενή από κινητή οδοντοστοιχία.
Η μέθοδος της άμεσης φόρτισης μπορεί να γίνει είτε για ένα μόνο δόντι είτε για πολλά, χρησιμοποιώντας πάντα το κατάλληλο είδος εμφυτεύματος. Το κάθε εμφύτευμα δημιουργείται προσαρμοσμένο στις ανάγκες του ασθενούς, ενώ τα θεραπευτικά πρωτόκολλα που ακολουθούνται είναι ασφαλή και εγκεκριμένα καλύπτοντας με τον καλύτερο δυνατό τρόπο την ανάγκη του ασθενούς για επιστροφή στην καθημερινότητα μέσα σε σύντομο χρονικό διάστημα. Μάλιστα, το Ιατρείο Μας αποτελεί το μοναδικό “center of excellence” στην Ελλάδα της Nobel Biocare για τη μέθοδο All on 4®(πλήρες οδοντικό τόξο με άμεση φόρτιση χωρίς οστικό μόσχευμα σε μόλις 4 εμφυτεύματα) παρέχοντας εξατομικευμένη προσέγγιση στις ανάγκες κάθε ασθενούς!

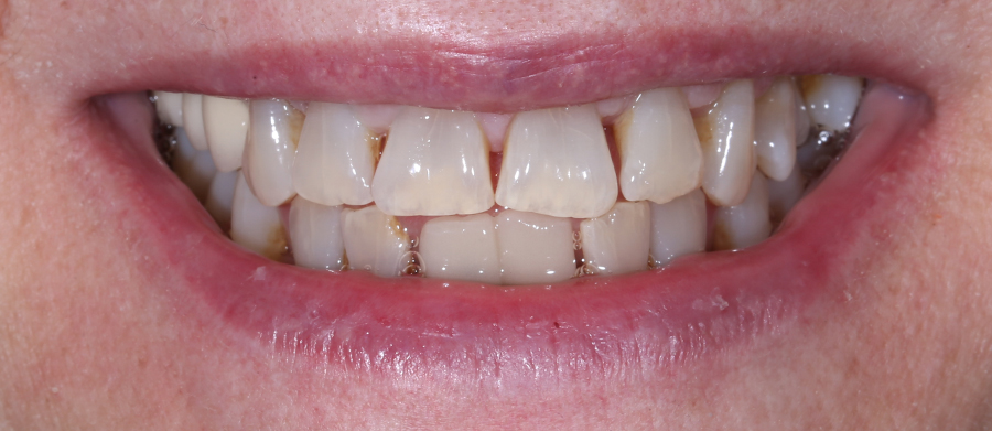
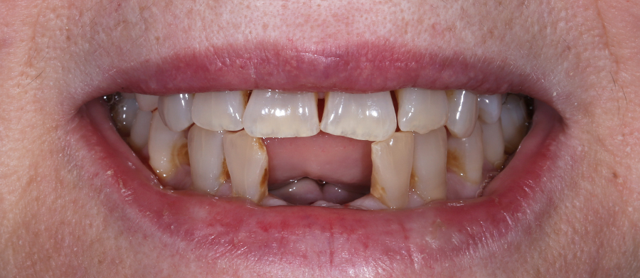
ΕΜΦΥΤΕΥΜΑΤΑ ΔΟΝΤΙΩΝ ΠΡΙΝ & ΜΕΤΑ

ΔΩΡΕΑΝ ΜΕΤΑΚΙΝΗΣΗ & ΔΙΑΜΟΝΗ

Μένετε Εκτός Αττικής & Θεσσαλονίκης ή είστε κάτοικος Εξωτερικού
και σας προβληματίζει η μετακίνησή σας;

Σας εξασφαλίζουμε Δωρεάν Μετακίνηση, Διαμονή
και άλλες VIP παροχές

Dr. ΚΩΝΣΤΑΝΤΙΝΟΣ ΨΩΜΑΔΕΡΗΣ

Διευθυντής Στοματικής & Γναθοπροσωπικής Χειρουργικής, Ερρίκος Ντυνάν Hospital Center, Αθήνα.

  • Διευθυντής Στοματικής & Γναθοπροσωπικής Χειρουργικής, Ερρίκος Ντυνάν Hospital Center, Αθήνα
  • Απόφοιτος Ιατρικής Σχολής Αριστοτέλειου Πανεπιστημίου Θεσσαλονίκης
  • Απόφοιτος Οδοντιατρικής Σχολής Πανεπιστημίου Αθηνών
  • Διδάκτωρ Αριστοτέλειου Πανεπιστημίου Θεσσαλονίκης
  • τ. Επιμελητής Νοσοκομείου Ερυθρού Σταυρού, “Κοργιαλένειο-Μπενάκειο”, Αθήνα
  • Εκπαιδευτής και εισηγητής για την Ελλάδα στην ισοελαστική, μη μεταλλική εμφυτευματολογία.
  • Συγγραφέας πολλών επιστημονικών άρθρων σε ελληνικά και διεθνή περιοδικά
  • Κριτής (reviewer) επιστημονικών άρθρων σε διεθνή επιστημονικά περιοδικά

Είπαν για εμάς

Οι χώροι μας

Φόρμα Επικοινωνίας

    Close Menu

    About Salient

    The Castle
    Unit 345
    2500 Castle Dr
    Manhattan, NY

    T: +216 (0)40 3629 4753
    E: hello@themenectar.com

    Καλέστε Άμεσα
    WhatsApp